| 일 | 월 | 화 | 수 | 목 | 금 | 토 |
|---|---|---|---|---|---|---|
| 1 | 2 | 3 | 4 | 5 | 6 | 7 |
| 8 | 9 | 10 | 11 | 12 | 13 | 14 |
| 15 | 16 | 17 | 18 | 19 | 20 | 21 |
| 22 | 23 | 24 | 25 | 26 | 27 | 28 |
- 심리치료
- 심리학실험
- 독서심리상담
- 이재연교수
- 부부의세계심리분석
- 김호중노래
- 김호중팬클럽
- 심리상담
- 김호중
- 독서상담
- 김호중할무니
- 대상관계이론
- 문학심리치료
- 신경발달장애
- 부모교육
- 김호중방송
- 상담학용어
- 독서심리치료
- 독서치료
- 부부심리상담
- 독서심리상담사자격증
- 김호중칼럼
- 김호중사랑의콜센타
- 시치료지도사자격증
- 김호중아리스
- 시치료
- 부부심리치료
- 특정학습장애
- 부부의세계
- 부부의세계김희애
- Today
- Total
느루독서심리연구센터(010-2788-3025)
잠을 자지 않고 우리가 살아갈 수 있도록 도와주는 뇌의 부위 망양체에 대해 알아봅니다. 그리고 DMN에 대해서도 알아봅니다. 본문
잠을 자지 않고 우리가 살아갈 수 있도록 도와주는 뇌의 부위 망양체에 대해 알아봅니다. 그리고 DMN에 대해서도 알아봅니다.
느루독서심리연구센터(010-2788-3025) 2020. 10. 29. 18:41
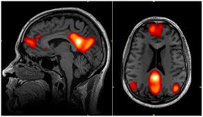
뇌에는 '망양체'라는 것이 있습니다. 망은 그물을 뜻합니다. 양은 모양을 뜻합니다. 즉 그물 모양 부분을 말합니다. 이 부분은 뇌의 중뇌에서 연수(=숨뇌)에 걸친 부분을 말합니다. 특수한 구조를 한 신경세포와 신경 섬유의 집단입니다. 영어로는 'reticular formation'이라고 합니다. reticular는 '그물 모양의', '뒤얽힌'이라는 뜻입니다. 영어로 그물조직을 reticular tissue라고 합니다. 발음을 할 때는 '리티큘럴'라고 말합니다. 우선 그림으로 확인을 하겠습니다.


망양체가 어디에 있는지 보이시나요?
뇌간(brainstem)은 중뇌midbrain) + 뇌교(pons) + 연수(medulla oblongata) 세 영역을 전부 일컬어서 뇌간이라고 합니다. 이 세 영역 전체에 해당하는 곳이 바로 망양체(reticular formation)입니다. 뇌간에는 23개나 되는 핵이 존재합니다. 제일 위에 있는 중뇌에는 3개의 핵이 있고, 뇌교에는 6개가 있습니다. 근데 연수에는 14개나 존재합니다.
이런 세 곳에 전반적으로 걸쳐 있는 망양체의 기능은 뇌가 잠을 자지 않도록 하는 호위병과 같은 역할을 합니다. 우리 몸에는 두 가지 종류의 신경이 있습니다. 하나는 내 마음대로 움직일 수 있는 신경입니다. 바로 체성신경입니다. 즉 몸을 움직일 수 있는 체성신경입니다. 하지만 내 의지와 상관없이 움직이는 신경이 바로 자율신경입니다. 이 자율신경에는 교감신경과 부교감신경이 있습니다. 이런 모든 신경들을 조절하고 가능하게 하는 것이 바로 망양체가 하는 것입니다. 진짜 하는 일이 너무 광범위해서 조금 자세히 구체적으로 알아보도록 하겠습니다.

망양체(reticular formation)의 기능을 크게 두 가지로 나눕니다.
하나는 아래로 내려가는 영역을 descending이라고 합니다. 이 영역은 운동을 조절합니다.
또 다른 하나는 저녁에 잘 때 혹은 멍 때릴 때 나의 상태를 유지하는 영역입니다. 이 영역을 ascending이라고 합니다.
쉽게 생각하면, 눈을 뜨고 움직이는 상태에서 내가 직접 근육을 움직이면서 걸어다니거나 몸을 움직일 때는 뇌에서는 중뇌부분에서 연수까지 내려가면서 운동을 조절합니다. 이것을 내려가는 명령이라서 descending이라고 합니다. 반대로 꿈을 꾸거나 수면상태에서는 연수에서 중뇌 쪽으로 올라가면서 어떤 문제가 있으면 언제든지 준비할 수 있도록 뇌로 정보를 끌어올려주면서 상태를 유지하는 것을 ascending이라고 합니다.



근데 이렇게 망양체(reticular formation)가 올라가는 영역이 어디까지 올라가냐하면, 시상(thalamus)과 시상하부(hypothalamus)까지 올라갑니다. 사실 간뇌(diencephalon)는 호르몬과 깊은 관련이 있습니다. 좀 더 자세히 이야기 하면, 시상(thalamus)은 감각을 통제합니다. 또 시상하부(hypothalamus)는 자율신경(교감신경과 부교감신경)을 통제합니다.
도독이 들어오겠다!
비가 오겠다!
뭐 이런 감각을 빠르게 알려주는 것이 바로 망양체에서 하는 역할입니다. 이 망양체 때문에 뇌는 신체와 달리 24시간 운동을 합니다. 그래서 망양체 덕분에 우리는 늘 안전하게 스스로를 보호할 수 있습니다. 이런 이유 때문에 신체 피로보다는 뇌 피로가 더 많이 쌓이게 되는 것입니다.



뇌의 활동 중에 DMN이라는 것이 있습니다.
우선 DMN이 무슨 뜻인지 부터 이야기 드리겠습니다. 우선 D는 Default라는 단어의 첫 글자입니다. 디폴트라는 단어는 부도, 불이행, 연체 뭐... 이런 부정적인 단어로 인식됩니다. M은 'Mode'라고 해서 형태, 방법, 상태를 뜻합니다. 그리고 마지막 N은 network라는 단어로 망, 통신망, 관계, 연계라는 뜻입니다.
초창기에는 이 DMN기능에 대해서 정말 부정적인 기능으로만 알고 있었지만 점점 뇌과학이 발전하면서 DMN의 긍정적인 기능을 발견하게 됩니다. 사실 이 DMN이라는 말은 2001년부터 사용된 단어입니다. 미국 마커스 레이클(Marcus Raichile) 교수가 처음 제안했던 개념입니다. 디폴트라는 것이 컴퓨터에서도 사용되는 표현입니다. 컴퓨터에서 디폴트라고 하면 그냥 리셋이 되어버려서 0으로 돌아가버리는 것을 말합니다. 이처럼 뇌가 그냥 멍~~~ 때리는 상태가 되는 것입니다. 그냥 많은 생각을 하다보면 너무 용량이 꽉 차서 뇌가 알아서 0으로 돌아가게 만드는 기능을 말합니다. 왜 이렇게 우리는 너무 정보를 많이 받다보면, 공부를 많이 하다보면, 스트레스를 많이 받다보면, 이렇게 디폴트 모드 네트워크(DMN = Default Mode Network) 상태로 자동적으로 돌아갈까요?
만약 DMN 기능이 손상되어서 너무 과도하게 작동을 하게되면 정신질환에 걸리게 됩니다. 특히 조현병이 오게 됩니다. 외부에서 들어오는 자극에 대해서 못 받아들이게 되는 것입니다. 외부 자극들을 못 받는다는 것은 자신의 내부 정보만 받아들이기 때문에 생기는 문제가 발생합니다. 이것이 바로 환청과 환시인 것입니다.
반대로 DMN 기능이 너무 활성화가 안 되면, 자페증이나 우울증이 오게 됩니다. 외부의 자극에만 민감하고 예민하게 반응을 하기 때문에 지나간 시간과 지금 이순간을 연결하지 못하게 됩니다. 앞으로 다가올 시간과 타인을 의미 있게 연결을 할 수가 없게 됩니다.
조금 쉽게 이야기 하면, DMN은 잡생각입니다.
잡생각이 너무 과도하게 일어나면 조현병이 일어나는 것이고, 너무 잡생각을 하지 못하면 자폐증에 걸리게 되는 것입니다. 적절한 잡생각은 인간에게 상당히 중요합니다. 잡생각을 할 때를 잘 생각해보면, 휴식을 취할 때입니다. 또 멍 때릴 때입니다. 먼 산을 볼 때이고 잠들기 직전과 잠에 빠져 꿈을 꿀 때 일어나는 것입니다. 이런 상태이기 때문에 DMN은 우리에게 상당히 중요한 기능인 것입니다. 그래서 기억과도 관련이 있습니다. DMN이 적절하게 활성화되어야 내가 학습한 내용을 조절하고 정리를 해주는 것입니다.


심리학에서는 Mindfulness-based stress reduction(MBSR)이라는 말을 자주 사용합니다. 이 단어는 1979년 메사추세츠대학교 의과대학교 존 카밧 진 교수가 처음으로 주장한 프로그램 이름에서 사용되기 시작했습니다.
인간의 뇌를 들여다보면 욕심을 다루는 뇌 영역이 있습니다. 바로 후대상피질이라고 하는 영역이 있습니다. 이 욕심 영역인 후대상피질이 활성화하면 도파민 영역이 연결되어서 계속 쾌락중추를 자극하게 되는 것입니다. 도대체 이런 영역들의 기능을 누가 찾는 걸까요?
바로 예일대학교, 하버드 대학교, MIT 대학교 교수들의 모임인 뉴잉글랜드 프론티어 사이언스 그룹에서 발견합니다. 이들이 지금 현재는 최고 뇌과학의 최전선 그룹으로 여겨지고 있습니다.


by 이재연(고려대학교 대학원 아동코칭학과 강의전담교수)
'한국상담학신문 > 뇌과학심리상담' 카테고리의 다른 글
| 불쾌한 피로 심리학 이야기 (0) | 2022.01.25 |
|---|---|
| 신경세포와 병리증상(독서심리치료사 자격증1강) (0) | 2021.03.02 |
| 뇌전증(epilepsy)과 간질에 대해서 (0) | 2020.12.08 |
| 뇌(brain) 교육이 필요한 이유 (0) | 2020.08.21 |
| 마음은 어디에 있는 것일까? 뇌는 어떤 기능을 하는 것일까? (0) | 2020.07.24 |